停更半年,感谢35728位听众的等待,我们也爱你们!❤️ 我们从「住院总」培训活着回来了!!!
【医学名词解释】 住院总(Chief Resident): 几乎吃住在医院、永远穿着破旧短袖洗手衣(scrubs)的全院会诊医师。承担科室 “既要又要还要” 的全能任务。口头禅:“马上到”、“别急”、“我去看看”、“放心,我不下班”。
住院总绝对是医生(无论内、外科)职业生涯中最值得大书特书的一段经历。本期节目作为我们的回归之作,有两个老友见面的寒暄,有惊险骇人的实战经历(食管破裂、90分钟胸外按压、CT再现“死神征”),还有我们对未来节目的展望。
🕒时间轴:
01:30 官宣!「下班医生」拿下了 2025 小宇宙年度新播客🏆

02:45 小宇宙播客大赏现场直击:和蒋方舟、姜思达同场的奇妙体验

07:50 停更半年,我们到底干嘛去了?🏃🏻
12:00 住院总全纪实:三甲医院从住院医到主治的必经之路,24 小时待命的真实日常🕛
16:50 轻描淡写的会诊意见,背后有时是惊心动魄🌩️
18:45 会诊 1:腹腔术后为何突发食管破裂?
21:30 会诊 2: 90分钟不间断按压、6 次除颤,方圆徒手拒死神
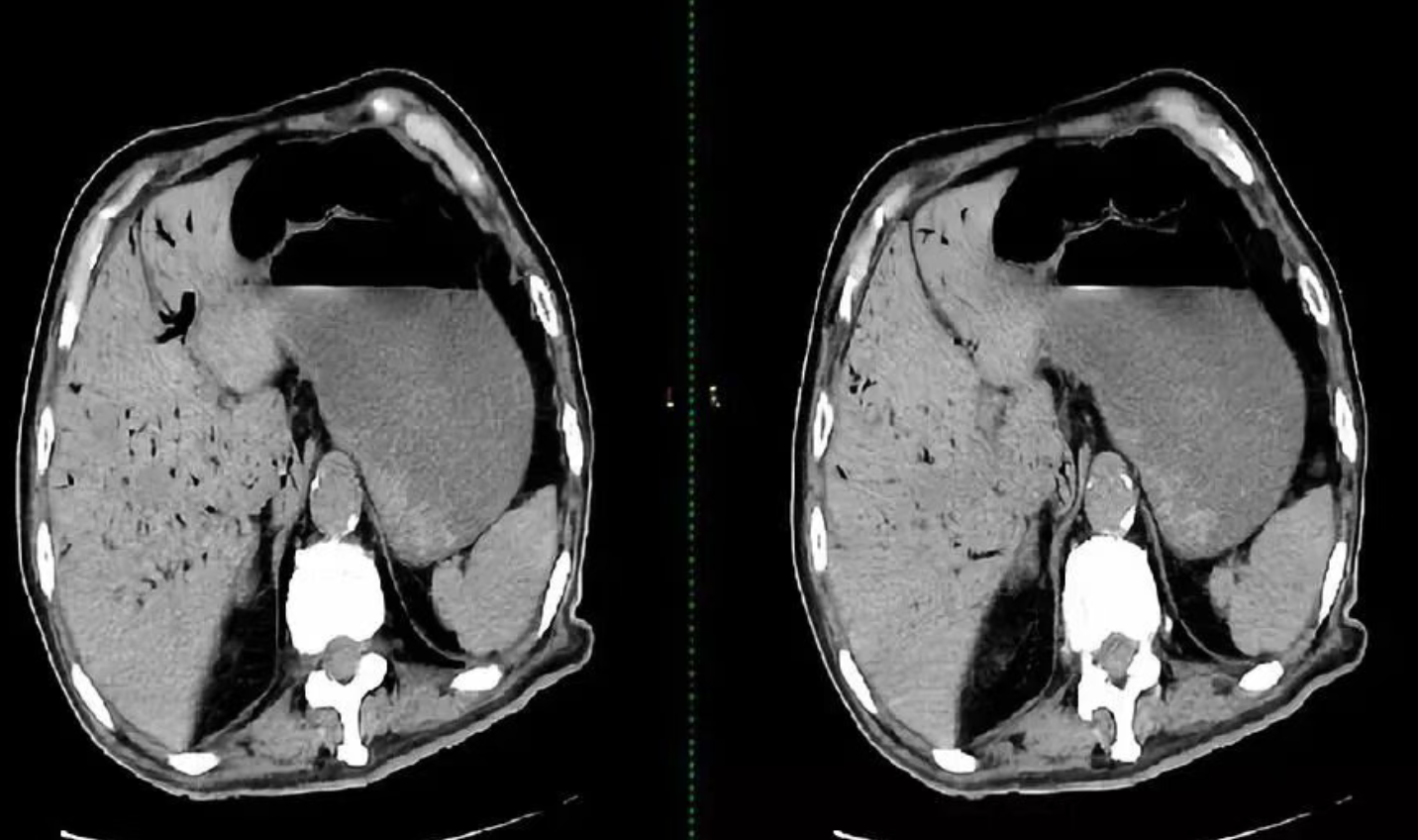
28:55 会诊 3:“死神之征”重现江湖,CT背后的生死抉择

【医学名词解释】枯树征: 是一种在腹部 CT 影像上呈现的特征性表现,,在影像上呈现出类似枯树枝的分支状透亮影而得名,也被称为门静脉积气征(Hepatic Portal Venous Gas)。这是一个极其凶险的影像学征象,预示着极高的死亡率。
36:00 被工作系统性摧毁的个人生活,对家庭的亏欠与愧疚🏡
40:50 重症、心内、呼吸、麻醉… 外科医生的底气来自兄弟科室
46:00 外科医生的肌肉记忆是无数个夜班熬出来的✋
59:00 越累越要运动,是医生对抗高压工作的最佳解药🚴🏻
马年里,我们会在继续做执业医生频道里最轻松的播客,传播有用、有趣的声音。下班路上,我们陪你!

———————————————————————————
[片首、片尾曲] The Third Man - The Harry Lime Theme
[后期] @Kami

