前情提示:本期节目录音时出现了一些问题,导致奶树一人的音频质量较差,但是考虑到播客录制的实际临场感和反应,最终还是剪辑发布了,请听友见谅!
本期新春特别节目,我们借着“龙马精神”、“老马识途”这些耳熟能详的吉祥话,从生命科学的角度带你重新认识人类的这位老朋友!你有没有好奇过:古装剧里疯狂抽马鞭,皮糙肉厚的马到底疼不疼?传说中的“汗血宝马”流的真的是血,还是自带“洗洁精”的超强汗液?马跑起来竟然有不可突破的“物理限速”,甚至四条腿迈一步只能呼吸一次?还有,那只能做数学题的“神马”,究竟是智商爆表,还是个天赋异禀的“微表情大师”?
跟我们一起,揭开这些关于马的奇妙生物学谜团,甚至还要聊聊“马尿”是如何跨界成为人类早期医学“神药”的硬核八卦!祝大家新的一年,不仅能听得开心,还能收获满满的龙马精神!
时间点:
00:07 龙马精神:马为什么代表着旺盛的生命力
04:49 边跑边消化的“后肠发酵”给马带来更自由的消化
07:32 像自动铅笔一样的牙齿:高冠齿应对咀嚼草料带来的终生磨损
11:26 自带“兴奋剂”的脾脏:马在极限奔跑中额外释放红细胞的供氧秘诀
14:26 疯狂的循环系统:马的心脏惊人的供血量与远超人类的最大摄氧量
18:08 真正的“牛马”大比拼:骡子、驴、牛、马在运输耐力与速度上的实力排名
20:34 “一日千里”的物理瓶颈:为什么只能用鼻子呼吸极大限制了马的极限速度?
23:34 四足动物奔跑时“迈一步呼吸一次”的机械锁死现象
31:16 春风得意马蹄疾:奇蹄目与偶蹄目,用一根“中指”奔跑的极致生物特化
38:11 赛博朋克风的“美甲”:马蹄铁的作用与修理马蹄底部的复杂减震结构
39:39 第二心脏:马蹄底部的“V字形”Frog结构如何辅助血液回流
44:05 策马扬鞭真的不痛吗?从皮肤神经末梢分布看马真实的痛觉感受
51:08 被隐藏的痛苦:为什么作为猎物的马在自然界中演化出了“强忍疼痛”的微表情?
54:37 汗血宝马的秘密:富含“洗洁精”蛋白的高效散热汗液与红汗假说(纠正:汗血马是土库曼斯坦的国徽不是国旗,以及大宛(yuān)读错了)
01:01:04 从始祖马到现代马:体型变大与脚趾减少的千万年演化史
01:03:05 驯化之谜:基因组学如何揭示人类骑马的真正历史起点
01:05:28 白马王子神话破灭:远古斑点马与现代纯白马背后的基因缺陷与早衰黑色素瘤
01:12:45 老马识途不是传说:实验证明马具有惊人的长期记忆与空间认知能力
01:16:02 “神马”聪明的汉斯:会做数学题的马,背后是对人类微表情的极限捕捉
01:21:32 察言观色的高手:马如何通过结合人类的面部表情与声音来判断威胁
01:24:50 猎物的视角:将近360度的全景视野与马的两个致命视觉盲区
01:28:18 独特的眼底世界:追踪地平线动静的“水平视觉条带”与红绿色盲
01:31:30 马年延寿与医学奇迹:人类历史上第一次用马直观测量血压的残忍实验
01:34:38 从破伤风到抗蛇毒血清:作为活体“生物工厂”的马与抗体生产线
01:37:46 羊驼纳米抗体:骆驼科动物缺失轻链在现代生物医药中的独特优势
01:41:41 Premarin:百年医药史背后的女性健康与动物福利伦理争议
01:46:35 结语:重新认识人类的老朋友,送上充满“马”元素的生肖新春祝福
相关图片:
马的高冠齿:

赛马的最大摄氧量远超基准:

犀牛、马、河马、鹿脚趾的结构:

马蹄铁与隐约的V字形frog结构:

马跑步跨栏时的四肢发力(腿上描绘了肌肉骨骼的位置):

皮肤的基本结构:

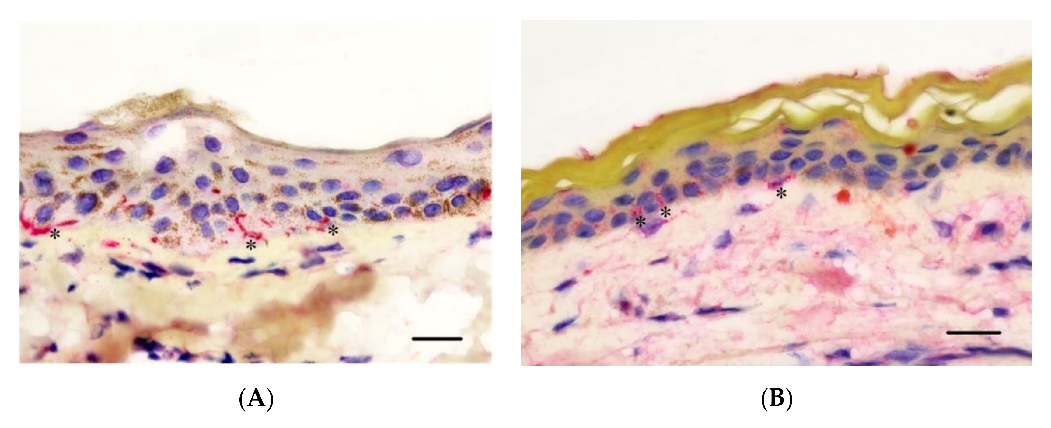
马(A)和人(B)皮肤切面的染色图(第二张图红色为神经末梢):


马的痛苦量表,具体指标包括耳朵僵硬向后、眼眶紧缩、眼部上方区域紧张、咀嚼肌明显紧张、嘴部紧张和下巴突出、鼻孔紧张和侧面轮廓变平:

马的汗:

马的演化历史和体型、脚趾、牙齿的变化:

目前考古发现的古人类绘制马的壁画:

马的眼睛特写:

涉及BGM:
大张伟 - 阳光彩虹小白马
部分参考资料:
维基百科的相关词条
Hodgson D R, McGowan C M, McKeever K H. The athletic horse: principles and practice of equine sports medicine[M]. Elsevier Health Sciences, 2013.
Thomas D P, Fregin G F. Cardiorespiratory and metabolic responses to treadmill exercise in the horse[J]. Journal of Applied Physiology, 1981, 50(4): 864-868.
Bramble D M, Carrier D R. Running and breathing in mammals[J]. Science, 1983, 219(4582): 251-256.
Gu J, Orr N, Park S D, et al. A genome scan for positive selection in thoroughbred horses[J]. PloS one, 2009, 4(6): e5767.
Poole D C, Erickson H H. Highly athletic terrestrial mammals: horses and dogs[J]. Comprehensive Physiology, 2011, 1(1): 1-37.
Castiglione G M, Chen X, Xu Z, et al. Running a genetic stop sign accelerates oxygen metabolism and energy production in horses[J]. Science, 2025, 387(6741): eadr8589.
Tong L, Stewart M, Johnson I, et al. A comparative neuro-histological assessment of gluteal skin thickness and cutaneous nociceptor distribution in horses and humans[J]. Animals, 2020, 10(11): 2094.
Biewener A A. Patterns of mechanical energy change in tetrapod gait: pendula, springs and work[J]. Journal of Experimental Zoology Part A: Comparative Experimental Biology, 2006, 305(11): 899-911.
Dalla Costa E, Minero M, Lebelt D, et al. Development of the Horse Grimace Scale (HGS) as a pain assessment tool in horses undergoing routine castration[J]. PLoS one, 2014, 9(3): e92281.
McDonald R E, Fleming R I, Beeley J G, et al. Latherin: a surfactant protein of horse sweat and saliva[J]. PloS one, 2009, 4(5): e5726.
Outram A K, Stear N A, Bendrey R, et al. The earliest horse harnessing and milking[J]. Science, 2009, 323(5919): 1332-1335.
Librado P, Khan N, Fages A, et al. The origins and spread of domestic horses from the Western Eurasian steppes[J]. Nature, 2021, 598(7882): 634-640.
Nakamura K, Takimoto-Inose A, Hasegawa T. Cross-modal perception of human emotion in domestic horses (Equus caballus)[J]. Scientific Reports, 2018, 8(1): 8660.
Proops L, Grounds K, Smith A V, et al. Animals remember previous facial expressions that specific humans have exhibited[J]. Current Biology, 2018, 28(9): 1428-1432. e4.
Lewis O. Stephen Hales and the measurement of blood pressure[J]. Journal of human hypertension, 1994, 8(12): 865-871.
Hanggi E B, Ingersoll J F. Long-term memory for categories and concepts in horses (Equus caballus)[J]. Animal cognition, 2009, 12(3): 451-462.
Rubin C J, Hodge M K, Naboulsi R, et al. An intronic copy number variation in Syntaxin 17 determines speed of greying and melanoma incidence in Grey horses[J]. Nature Communications, 2024, 15(1): 7510.

