本期朋友:箫郎
所在行业:临床医疗
工作岗位:肿瘤医院肝胆外科主治医师
所在地点:国内
前几天找回了多年前遗失的微信公众号:阿汤歌 (点击可跳转)
将来会在每一健康主题发布正式节目前,在公众号进行预告和征集问题,
也欢迎同步加入微信群:cheeseradio
第21期至25期,我将会发布和某肿瘤医院肝胆外科主治医生箫郎,就肿瘤科室的一些常见临床问题和误区进行科普。更多的是让大家(的家里老人)认识到错误的生活方式可能就时时刻刻发生在身边。

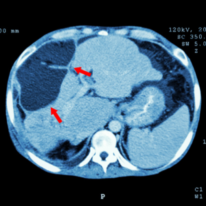
*上图和封面图为获得摄图新视界©️版权图片,图中上腹部CT扫描:显示肝脏异常肿块

*图片来源于网络
02:59 箫郎为什么开始选择了这个科室?
03:51 现在的主要研究方向是?
04:46 现在对于人们来说谈到肿瘤就会很恐惧,肿瘤=死亡?什么是肿瘤?什么是癌?
06:57 为什么不舒服上网一查就都是“癌”呢?
07:50 总能听见人们说肿瘤会有家族遗传基因?家里要是有人得过肿瘤,就得多注意,要定期检查?这个是真的么?
09:41 先天基因(脆性)抗击打能力和家庭的生活习惯是致癌的重要因素。
11:46 吃饭口重,常年吃的过咸会降低人体免疫力,易导致胃癌;食管癌患者里爱吃辣的烫的多。
13:02 炒货(瓜子、花生)遇到发霉的概率很大;茶叶里的黄曲霉素的指标过高,都要少吃
14:22 DNA基因的遗传不用恐慌,需要注意的是生活方式,比如不要常见吃隔夜菜(这一段可以录屏给家里老人听)
15:49 有条件的要半年体检一次,老人不要怕给孩子找麻烦而不早去就诊(这一段也建议录屏给家里老人听)
20:02 家族群里各种推文经常看到一些抗癌的食物,真的会管用么?(这一段也建议录屏给家里老人听)
22:11 保健品是提纯的东西,中医角度来说“提纯的东西是有偏性的”
26:26 是不是所有癌肿患者都要进行放化疗?
29:07 还一个是靶向治疗,听起来很精准
31:28 现在已经进入了“靶、免时代”和放化疗相配合
33:28 降低免疫力有两个快速的途径:熬夜和心情
35:26 所有的(实体)肿瘤都是需要手术的么?
36:16 手术是有严格的指征,不一定都要切,比如目前对于阑尾的看法的变化。
43:00 有可能动了手术会促进了肿瘤的生长。
*本节目仅供医学常识科普使用,不能代替专业诊疗意见,具体决策请遵医嘱。



