再次提醒自己:很多事做起来没有想象的那么难 📅 Aug.26菠萝观察日记

再次提醒自己:很多事做起来没有想象的那么难 📅 Aug.26

20分钟 ·
播放数487
·
评论数6

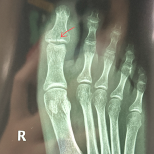
检查拍x光日。

📝:☀️,24~37°C,状态3星,新尝试的菠萝。

00:13 终于去医院拍片检查了

07:49 这次去医院得到的几个经验

11:08 被行动力超强的朋友小小震撼了

展开Show Notes
hhhxswl_
hhhxswl_
2025.8.30
17:07 没有边界感的人真的让人很不舒服
pancakei
pancakei
2025.8.26
早日康复❤️‍🩹
捡捡_
捡捡_
2025.8.26
06:59 我前段时间去医院也遇到这个问题。查了下说,城乡居民医保只能报挂号费和住院产生的治疗费,门诊产生的检查和开药费用是报不了的
菠萝菠萝蜜o
:
原来如此!看来需要补一个门诊用的医保
Stludaily
Stludaily
2025.8.27
02:08 太懂了😭😭当时双拐去复查,东拐西拐地来到二楼的科室、然后又要去隔壁楼、隔隔壁楼拍片……
这种情况还是多多卧床休息,先别考虑工作了